×
Close
Sign Up
Login
Home
SCI Abstract
Library D
Community
Events
Events & Partner
WeMed
Media Partners
Educational Partner
User Tools
FAQ/USER GUIDE
Language
English
中文/ Chinese
Contact Us
×
Close
mdla_1
mdla_2
mdla_3
mdla_4
mdla_5
mdla_6
Categories
Clinical Medicine
7647
Global Medical University
4855
Allergy
1448
Anatomy & Morphology
1366
Andrology
306
Anesthesia & Intensive Care
1238
Anesthesiology
5105
Audiology & Speech-Language Pathology
267
Behavioral Sciences
91
Biochemical Research Methods
6625
Biochemistry & Molecular Biology
28260
Biodiversity Conservation
296
Biology
7883
Biophysics
7890
Biotechnology & Applied Microbiology
7813
Cardiac & Cardiovascular Systems
29476
Cardiovascular & Respiratory Systems
1242
Cell & Tissue Engineering
666
Cell Biology
10247
Chemistry, Analytical
3730
Chemistry, Applied
10510
Chemistry, Medicinal
8234
Chemistry, Multidisciplinary
17297
Clinical Immunology & Infectious Disease
395
Clinical Neurology
15539
Clinical Psychology & Psychiatry
1215
Critical Care Medicine
3002
Dentistry, Oral Surgery & Medicine
12234
Dermatology
6438
Developmental Biology
6533
Ecology
570
Education, Scientific Disciplines
1873
Emergency Medicine
3780
Endocrinology, Metabolism & Nutrition
22770
Engineering, Biomedical
3523
Entomology
461
Environmental Medicine & Public Health
4414
Evolutionary Biology
247
Gastroenterology & Hepatology
11225
General & Internal Medicine
6536
Genetics & Heredity
14223
Geriatrics & Gerontology
4632
Gerontology
344
Health Care Sciences & Services
15078
Health Policy & Services
549
Hematology
5050
Immunology
23582
Infectious Diseases
13059
Integrative & Complementary Medicine
2757
Medical Ethics
1162
Medical Informatics
2139
Medical Laboratory Technology
361
Medicine, General & Internal
42008
Medicine, Legal
488
Medicine, Research & Experimental
16507
Microbiology
22073
Mycology
0
Nanoscience & Nanotechnology
4776
Neuroimaging
1281
Neurology
4083
Neurosciences
37847
Nursing
8625
Nutrition & Dietetics
7393
Obstetrics & Gynecology
7624
Oncology
48906
Ophthalmology
9098
Optics
3947
Orthopedics
10776
Orthopedics, Rehabilitation & Sports Medicine
1663
Otolaryngology
1392
Otorhinolaryngology
4472
Parasitology
1089
Pathology
4606
Pediatrics
20231
Peripheral Vascular Disease
4432
Pharmacology & Pharmacy
32806
Pharmacology/Toxicology
11586
Physiology
8344
Polymer Science
507
Primary Health Care
768
Psychiatry
18041
Psychology
4767
Psychology, Applied
91
Psychology, Biological
339
Psychology, Clinical
753
Psychology, Developmental
215
Psychology, Educational
139
Psychology, Experimental
149
Psychology, Mathematical
0
Psychology, Multidisciplinary
1572
Psychology, Psychoanalysis
29
Psychology, Social
111
Public Health & Health Care Science
2027
Public, Environmental & Occupational Health
25825
Quantum Science & Technology
0
Radiology, Nuclear Medicine & Imaging
11769
Radiology, Nuclear Medicine & Medical Imaging
7314
Rehabilitation
2679
Remote Sensing
0
Reproductive Biology
2713
Reproductive Medicine
1111
Research/Laboratory Medicine & Medical Technology
3813
Respiratory System
6674
Rheumatology
5395
Social Sciences, Biomedical
1091
Substance Abuse
2521
Surgery
32260
Toxicology
4030
Transplantation
821
Tropical Medicine
283
Urology & Nephrology
11872
Veterinary Sciences
28
Virology
2181
Zoology
0
Channels
BIOMEDICINES
3062
Medicine and Health
133
JOURNAL OF SCIENCE AND MEDICINE IN SPORT
0
JOURNAL OF TRANSLATIONAL MEDICINE
1045
ACUPUNCTURE IN MEDICINE
50
ANNALS OF CLINICAL BIOCHEMISTRY
33
INTERNATIONAL JOURNAL OF CLINICAL PRACTICE
483
JOURNAL OF BIOMATERIALS APPLICATIONS
49
JOURNAL OF CLINICAL LABORATORY ANALYSIS
307
MEDICAL PHYSICS
210
REGENERATIVE MEDICINE
20
REVISTA LATINO-AMERICANA DE ENFERMAGEM
0
INTERNATIONAL JOURNAL OF SPORTS MEDICINE
320
JOURNAL OF SPORTS SCIENCE AND MEDICINE
203
SCIENCE & SPORTS
346
HORMONES & CANCER / DISCOVER ONCOLOGY
254
SURGERY TODAY
585
SURGICAL AND RADIOLOGIC ANATOMY
547
SCI Abstract
search
ALL
RECOMMENDED
+
Biomedicines, Vol. 11, Pages 90: The Association between Vitamin D and the Components of Male Fertility: A Systematic Review
Objective: Previous systematic reviews of the effects of vitamin D on the components of male fertility have been inconclus...
Biomedicines
comment
0
thumb_up
0
Biomedicines, Vol. 11, Pages 88: HAT- and HDAC-Targeted Protein Acetylation in the Occurrence and Treatment of Epilepsy
Epilepsy is a common and severe chronic neurological disorder. Recently, post-translational modification (PTM) mechanisms,...
Biomedicines
comment
0
thumb_up
0
Biomedicines, Vol. 11, Pages 89: Central Sensitization and Psychological State Distinguishing Complex Regional Pain Syndrome from Other Chronic Limb Pain Conditions: A Cluster Analysis Model
Complex regional pain syndrome (CRPS) taxonomy has been updated with reported subtypes and is defined as primary pain alon...
Biomedicines
comment
0
thumb_up
0
Biomedicines, Vol. 11, Pages 86: Inadequacy of Vitamin D Does Not Interfere with Body Weight Loss in Women of Reproductive Age after Roux-en-Y Gastric Bypass
Objective: To assess the influence of vitamin D on body weight loss in women who had previously undergone Roux-en-Y gastri...
Biomedicines
comment
0
thumb_up
0
Biomedicines, Vol. 11, Pages 87: Toxin-like Peptides from the Bacterial Cultures Derived from Gut Microbiome Infected by SARS-CoV-2—New Data for a Possible Role in the Long COVID Pattern
It has been 3 years since the beginning of the SARS-CoV-2 outbreak, however it is as yet little known how to care for the ...
Biomedicines
comment
0
thumb_up
0
Biomedicines, Vol. 11, Pages 84: A Review on Music Interventions for Frontotemporal Aphasia and a Proposal for Alternative Treatments
Frontotemporal dementia (FTD) is a rare neurodegenerative disease, characterized by behavioral and language impairments. P...
Biomedicines
comment
0
thumb_up
0
Biomedicines, Vol. 11, Pages 85: Potential Inhibitors of SARS-CoV-2 Main Protease (Mpro) Identified from the Library of FDA-Approved Drugs Using Molecular Docking Studies
The Corona Virus Infectious Disease-2019 (COVID-19) outbreak originated at Wuhan, China, in December 2019. It has already ...
Biomedicines
comment
0
thumb_up
0
Biomedicines, Vol. 11, Pages 83: Impact of Liver Metastases and Number of Metastatic Sites on Immune-Checkpoint Inhibitors Efficacy in Patients with Different Solid Tumors: A Retrospective Study
Background: ICIs have dramatically improved patient outcomes in different malignancies. However, the impact of liver metas...
Biomedicines
comment
0
thumb_up
0
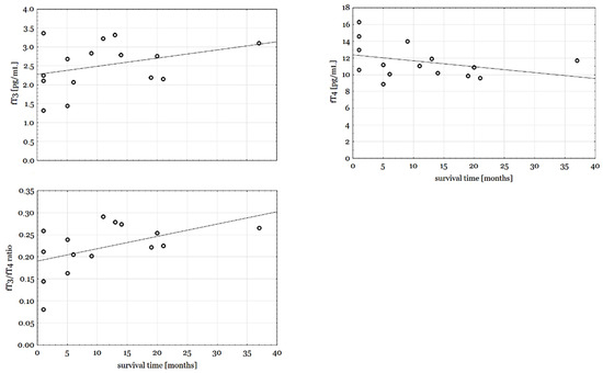
Biomedicines, Vol. 11, Pages 77: FT3 to FT4 Conversion Ratio May Be an Independent Prognostic Factor in Pancreatic Cancer Patients
Preclinical evidence suggests that T4 can promote tumor growth while T3 can act conversely; therefore, the fT3 and fT4 con...
Biomedicines
comment
0
thumb_up
0
Biomedicines, Vol. 11, Pages 76: FIB-4 Index and Neutrophil-to-Lymphocyte-Ratio as Death Predictor in Coronary Artery Disease Patients
Nonalcoholic fatty liver disease (NAFLD)-associated liver fibrosis is likely related to coronary artery disease (CAD) by t...
Biomedicines
comment
0
thumb_up
0
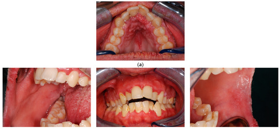
Biomedicines, Vol. 11, Pages 81: Gingival Overgrowths Revealing PTEN Hamartoma Tumor Syndrome: Report of Novel PTEN Pathogenic Variants
PTEN hamartoma tumor syndrome (PHTS), is a spectrum of disorders caused by mutations of PTEN, in which non-cancerous growt...
Biomedicines
comment
0
thumb_up
0
Biomedicines, Vol. 11, Pages 82: Onset of Action of Selected Second-Generation Antipsychotics (Pines)–A Systematic Review and Meta-Analyses
Recommendations for duration of treatment with antipsychotics before considering a switch vary from 2 to 8 weeks, although...
Biomedicines
comment
0
thumb_up
0
Biomedicines, Vol. 11, Pages 80: The Effects of Transcranial Direct Current Stimulation in Obsessive–Compulsive Disorder Symptoms: A Meta-Analysis and Integrated Electric Fields Modeling Analysis
Transcranial direct current stimulation (tDCS) has been showing promising effects for the treatment of obsessive&ndash...
Biomedicines
comment
0
thumb_up
0
Biomedicines, Vol. 11, Pages 70: New Opportunities in Heart Failure with Preserved Ejection Fraction: From Bench to Bedside… and Back
Heart failure with preserved ejection fraction (HFpEF) is a growing public health problem in nearly 50% of patients with h...
Biomedicines
comment
0
thumb_up
0
Biomedicines, Vol. 11, Pages 75: Ketamine Inhalation Alters Behavior and Lower Urinary Tract Function in Mice
We aimed to evaluate behavioral and lower urinary tract changes in mice using a novel ketamine inhalation model mimicking ...
Biomedicines
comment
0
thumb_up
0
Biomedicines, Vol. 11, Pages 73: New Approach to Chronic Back Pain Treatment: A Case Control Study
Background and objective: Our study compares the clinical outcome of chronic low back pain present for over six months tre...
Biomedicines
comment
0
thumb_up
0
Biomedicines, Vol. 11, Pages 74: Cannabidiol Decreases Intestinal Inflammation in the Ovariectomized Murine Model of Postmenopause
Cannabidiol (CBD) (25 mg/kg peroral) treatment was shown to improve metabolic outcomes in ovariectomized (OVX) mice defici...
Biomedicines
comment
0
thumb_up
0
Biomedicines, Vol. 11, Pages 61: The 2-Oxoglutarate Carrier Is S-Nitrosylated in the Spinal Cord of G93A Mutant hSOD1 Mice Resulting in Disruption of Mitochondrial Glutathione Transport
Mitochondrial oxidative stress and dysfunction are strongly implicated in the pathogenesis of amyotrophic lateral sclerosi...
Biomedicines
comment
0
thumb_up
0
Biomedicines, Vol. 11, Pages 69: Molecular Subtyping in Muscle-Invasive Bladder Cancer on Predicting Survival and Response of Treatment
Molecular classifications for urothelial bladder cancer appear to be promising in disease prognostication and prediction. ...
Biomedicines
comment
0
thumb_up
0
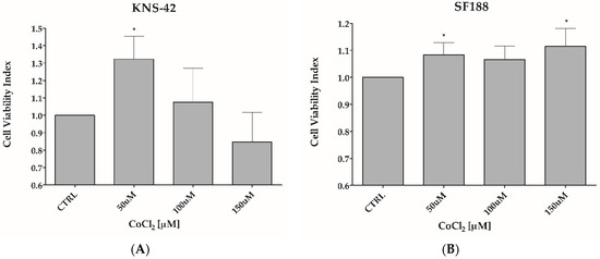
Biomedicines, Vol. 11, Pages 68: Indisulam Reduces Viability and Regulates Apoptotic Gene Expression in Pediatric High-Grade Glioma Cells
Pediatric high-grade glioma (pHGG) is one of the most aggressive brain tumors. Treatment includes surgery, radiotherapy, c...
Biomedicines
comment
0
thumb_up
0
Biomedicines, Vol. 11, Pages 66: Doppler Ultrasound Selection and Follow-Up of the Internal Mammary Artery as Coronary Graft
The impact of coronary artery disease (CAD) on all-cause mortality and overall disabilities is well-established. Percutane...
Biomedicines
comment
0
thumb_up
0
Biomedicines, Vol. 11, Pages 67: GraphATT-DTA: Attention-Based Novel Representation of Interaction to Predict Drug-Target Binding Affinity
Drug-target binding affinity (DTA) prediction is an essential step in drug discovery. Drug-target protein binding occurs a...
Biomedicines
comment
0
thumb_up
0
Biomedicines, Vol. 11, Pages 64: The Latest Approach of Immunotherapy with Endosomal TLR Agonists Improving NK Cell Function: An Overview
Toll-like receptors (TLRs) are the most well-defined pattern recognition receptors (PRR) of several cell types recognizing...
Biomedicines
comment
0
thumb_up
0
Biomedicines, Vol. 11, Pages 65: Low-Dose Metformin Treatment Reduces In Vitro Growth of the LL/2 Non-small Cell Lung Cancer Cell Line
Lung cancer maintains a relatively small survival rate (~19%) over a 5-year period and up to 80–85% of all lung ...
Biomedicines
comment
0
thumb_up
0
Biomedicines, Vol. 11, Pages 62: Patisiran Enhances Muscle Mass after Nine Months of Treatment in ATTRv Amyloidosis: A Study with Bioelectrical Impedance Analysis and Handgrip Strength
Background and aims. Hereditary transthyretin amyloidosis with polyneuropathy (ATTRv) is caused by mutations in the TTR ge...
Biomedicines
comment
0
thumb_up
0
Biomedicines, Vol. 11, Pages 63: FDG PET Imaging of the Pain Matrix in Neuropathic Pain Model Rats
Pain is an unpleasant subjective experience that is usually modified by complex multidimensional neuropsychological proces...
Biomedicines
comment
0
thumb_up
0
Biomedicines, Vol. 11, Pages 60: Gamma-Synuclein Dysfunction Causes Autoantibody Formation in Glaucoma Patients and Dysregulation of Intraocular Pressure in Mice
Dysregulation of intraocular pressure (IOP) is one of the main risk factors for glaucoma. γ-synuclein is a membe...
Biomedicines
comment
0
thumb_up
0
Biomedicines, Vol. 11, Pages 57: The Effect of Earthing Mat on Stress-Induced Anxiety-like Behavior and Neuroendocrine Changes in the Rat
Grounding is a therapeutic technique that involves doing activities that “ground” or electrically reco...
Biomedicines
comment
0
thumb_up
0
Biomedicines, Vol. 11, Pages 56: The Role of LINC01564, RAMS11, CBX4 and TOP2A in Hepatocellular Carcinoma
Background: Hepatocellular carcinoma (HCC) is the most common histologic type of primary liver cancers worldwide. Hepatiti...
Biomedicines
comment
0
thumb_up
0
Biomedicines, Vol. 11, Pages 55: Methylenetetrahydrofolate Reductase 677T Allele Is a Risk Factor for Arterial Thrombosis in Chinese Han Patients with Antiphospholipid Syndrome
Antiphospholipid syndrome (APS) is a systemic autoimmune disorder characterized by the persistent presence of antiphosphol...
Biomedicines
comment
0
thumb_up
0
Load More
Modal title
×
Modal title
×
Share
Login
Global News and Health Forum
Join Now!
Member Login
Remember me
Forgot password?
Or using
Linkedin