×
Close
Sign Up
Login
Home
SCI Abstract
Library D
Community
Events
Events & Partner
WeMed
Media Partners
Educational Partner
User Tools
FAQ/USER GUIDE
Language
English
中文/ Chinese
Contact Us
×
Close
mdla_1
mdla_2
mdla_3
mdla_4
mdla_5
mdla_6
Categories
Clinical Medicine
7647
Global Medical University
4851
Allergy
1448
Anatomy & Morphology
1363
Andrology
305
Anesthesia & Intensive Care
1238
Anesthesiology
5116
Audiology & Speech-Language Pathology
274
Behavioral Sciences
91
Biochemical Research Methods
6624
Biochemistry & Molecular Biology
28245
Biodiversity Conservation
296
Biology
7881
Biophysics
7890
Biotechnology & Applied Microbiology
7813
Cardiac & Cardiovascular Systems
29500
Cardiovascular & Respiratory Systems
1242
Cell & Tissue Engineering
666
Cell Biology
10243
Chemistry, Analytical
3720
Chemistry, Applied
10505
Chemistry, Medicinal
8234
Chemistry, Multidisciplinary
17289
Clinical Immunology & Infectious Disease
395
Clinical Neurology
15534
Clinical Psychology & Psychiatry
1215
Critical Care Medicine
3002
Dentistry, Oral Surgery & Medicine
12232
Dermatology
6430
Developmental Biology
6533
Ecology
570
Education, Scientific Disciplines
1872
Emergency Medicine
3780
Endocrinology, Metabolism & Nutrition
22747
Engineering, Biomedical
3522
Entomology
461
Environmental Medicine & Public Health
4414
Evolutionary Biology
247
Gastroenterology & Hepatology
11185
General & Internal Medicine
6535
Genetics & Heredity
14214
Geriatrics & Gerontology
4629
Gerontology
344
Health Care Sciences & Services
15076
Health Policy & Services
549
Hematology
5045
Immunology
23581
Infectious Diseases
13057
Integrative & Complementary Medicine
2756
Medical Ethics
1162
Medical Informatics
2139
Medical Laboratory Technology
361
Medicine, General & Internal
41981
Medicine, Legal
488
Medicine, Research & Experimental
16506
Microbiology
22069
Mycology
0
Nanoscience & Nanotechnology
4775
Neuroimaging
1281
Neurology
4081
Neurosciences
37843
Nursing
8622
Nutrition & Dietetics
7393
Obstetrics & Gynecology
7619
Oncology
48840
Ophthalmology
9096
Optics
3937
Orthopedics
10774
Orthopedics, Rehabilitation & Sports Medicine
1663
Otolaryngology
1392
Otorhinolaryngology
4472
Parasitology
1089
Pathology
4603
Pediatrics
20222
Peripheral Vascular Disease
4432
Pharmacology & Pharmacy
32793
Pharmacology/Toxicology
11585
Physiology
8341
Polymer Science
507
Primary Health Care
768
Psychiatry
18041
Psychology
4787
Psychology, Applied
91
Psychology, Biological
339
Psychology, Clinical
752
Psychology, Developmental
215
Psychology, Educational
139
Psychology, Experimental
149
Psychology, Mathematical
0
Psychology, Multidisciplinary
1571
Psychology, Psychoanalysis
29
Psychology, Social
111
Public Health & Health Care Science
2027
Public, Environmental & Occupational Health
25812
Quantum Science & Technology
0
Radiology, Nuclear Medicine & Imaging
11768
Radiology, Nuclear Medicine & Medical Imaging
7322
Rehabilitation
2689
Remote Sensing
0
Reproductive Biology
2713
Reproductive Medicine
1111
Research/Laboratory Medicine & Medical Technology
3813
Respiratory System
6674
Rheumatology
5384
Social Sciences, Biomedical
1091
Substance Abuse
2519
Surgery
32251
Toxicology
4029
Transplantation
820
Tropical Medicine
283
Urology & Nephrology
11871
Veterinary Sciences
28
Virology
2180
Zoology
0
Channels
SURGICAL AND RADIOLOGIC ANATOMY
547
Medicine and Health
133
JOURNAL OF SCIENCE AND MEDICINE IN SPORT
0
JOURNAL OF TRANSLATIONAL MEDICINE
1045
ACUPUNCTURE IN MEDICINE
50
ANNALS OF CLINICAL BIOCHEMISTRY
33
BIOMEDICINES
3062
INTERNATIONAL JOURNAL OF CLINICAL PRACTICE
483
JOURNAL OF BIOMATERIALS APPLICATIONS
49
JOURNAL OF CLINICAL LABORATORY ANALYSIS
307
MEDICAL PHYSICS
210
REGENERATIVE MEDICINE
20
REVISTA LATINO-AMERICANA DE ENFERMAGEM
0
INTERNATIONAL JOURNAL OF SPORTS MEDICINE
320
JOURNAL OF SPORTS SCIENCE AND MEDICINE
203
SCIENCE & SPORTS
346
HORMONES & CANCER / DISCOVER ONCOLOGY
254
SURGERY TODAY
585
SCI Abstract
search
ALL
RECOMMENDED
+
Tracheal morphometry using computed tomography in North Indian adults without any respiratory illness and its correlation with spirometry indices
The data regarding the tracheal morphometry in India, especially in vivo setting in healthy adults, is scarce. The current...
Surgical And Radiologic Anatomy
comment
0
thumb_up
0
Anatomical validation of safe zones for facial nerve preservation in supraorbital keyhole approach: a cadaveric study
The supraorbital keyhole approach is a minimally invasive technique for treating lesions in the anterior and middle crania...
Surgical And Radiologic Anatomy
comment
0
thumb_up
0
Anatomical insights into a five-bellied gastrocnemius muscle: a case report
The gastrocnemius (GM), a superficial posterior leg muscle, consists of medial and lateral heads and drives ankle plantarf...
Surgical And Radiologic Anatomy
comment
0
thumb_up
0
Recent trends in medical image segmentation and volumetric analysis in human studies (2000–2025): a bibliometric review
This bibliometric review examined trends in the digital analysis of anatomical structures, focusing on volumetric analysis...
Surgical And Radiologic Anatomy
comment
0
thumb_up
0
The long head of the biceps tendon as a pedicled autograft for acromioclavicular joint reconstruction: development of an arthroscopic technique
Acromioclavicular joint (ACJ) dislocation is a frequent shoulder injury, and high-grade cases often require surgical recon...
Surgical And Radiologic Anatomy
comment
0
thumb_up
0
Characterization of Hyrtl’s anastomosis: anatomical types, measurements and fetoplacental correlation
Hyrtl’s anastomosis, a vascular connection between the umbilical arteries close to its placental attachment that pla...
Surgical And Radiologic Anatomy
comment
0
thumb_up
0
Morphology of the accessory band of the semitendinosus tendon (aSTT): meta-analysis and systematic review
The semitendinosus tendon (STT) remains one of the principal autografts in knee ligament reconstruction; however, anatomic...
Surgical And Radiologic Anatomy
comment
0
thumb_up
0
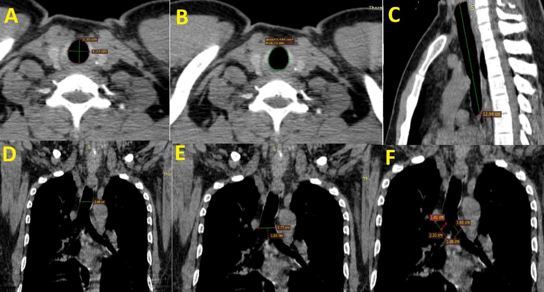
Isolated left common carotid artery: steal syndrome and neurological complications
Isolated left common carotid artery (ILCCA) is a rare cardiovascular malformation. Its core imaging feature is the anomalo...
Surgical And Radiologic Anatomy
comment
0
thumb_up
0
Anatomical variations in the relationship between the sciatic nerve and the piriformis muscle: clinical implications
This study aims to contribute additional comparative anatomical and morphometric data to identify anatomical variations of...
Surgical And Radiologic Anatomy
comment
0
thumb_up
0
The fovea capitis femoris as a dynamic surgical landmark: morphometric associations with the femoral inclination angle
The fovea capitis femoris (FCF) is widely used as a surgical and radiological landmark of the femoral head; however, its a...
Surgical And Radiologic Anatomy
comment
0
thumb_up
0
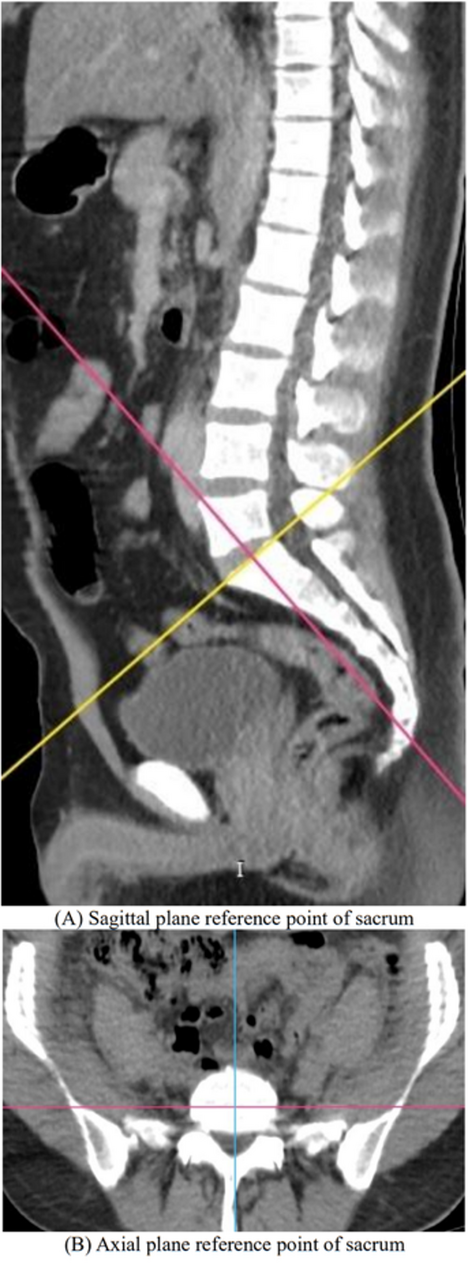
Sex estimation from sacral anatomy in Turkish adults: a machine learning–based analysis
The estimation of sex is the first and foremost step in developing a reliable biological identity during the examination o...
Surgical And Radiologic Anatomy
comment
0
thumb_up
0
Posterior interosseous ligament of the ankle: current evidence and knowledge gaps
The posterior interosseous ligament (PIL) of the ankle syndesmosis remains a poorly recognized and inconsistently describe...
Surgical And Radiologic Anatomy
comment
0
thumb_up
0
Radial nerve branches to the triceps brachii: cadaveric analysis and surgical implications for neurotization
The radial nerve, originating from C5 to C8 and occasionally T1, is one of the two major nerves in the posterior brachial ...
Surgical And Radiologic Anatomy
comment
0
thumb_up
0
Anastomosis of the dorsal pancreatic artery and first jejunal artery forming a pancreaticojejunal arcade: a clinically significant Bühler-type celiac–mesenteric collateral
Although anastomoses between the dorsal pancreatic artery (DPA) and superior mesenteric artery (SMA) branches are well kno...
Surgical And Radiologic Anatomy
comment
0
thumb_up
0
Evaluation of the relationship between the gonial angle and the pattern of the impacted mandibular third molar by cone beam computed tomography
This study evaluated the relationship between the gonial angle and the impaction patterns of mandibular third molars (M3Ms...
Surgical And Radiologic Anatomy
comment
0
thumb_up
0
An unusual variant of the anterior cerebral and anterior communicating arterial system: anatomical description with clinical and radiological implications
Anatomical variations of the circle of Willis are frequently encountered; however, certain configurations may have signifi...
Surgical And Radiologic Anatomy
comment
0
thumb_up
0
Morphological study of the zygomaticofacial foramen and its location using the distance cross-localization method
The zygomaticofacial foramen (ZFF) can serve as a landmark for craniofacial procedures and is an ideal site to localize th...
Surgical And Radiologic Anatomy
comment
0
thumb_up
0
Fenestrated giant mastoid emissary vein, a novel finding
To document an extracranial fenestration of the mastoid emissary vein (MEV) and to clarify its drainage pattern and potent...
Surgical And Radiologic Anatomy
comment
0
thumb_up
0
Clinical and surgical implications of emissary venous anatomy
To review the anatomy and clinical significance of the cranial emissary veins (CEVs) with an emphasis on the posterior fos...
Surgical And Radiologic Anatomy
comment
0
thumb_up
0
Regression of bilateral persistent primitive ophthalmic artery: a case report
We report a case of regression of a 2-year-old girl with bilateral primitive ophthalmic arteries (POAs). The patient prese...
Surgical And Radiologic Anatomy
comment
0
thumb_up
0
Replaced right posterior cerebral artery associated with ipsilateral superior cerebellar artery type persistent trigeminal artery variant diagnosed by magnetic resonance angiography
To describe a case in which a right replaced posterior cerebral artery (PCA) was associated with an ipsilateral superior c...
Surgical And Radiologic Anatomy
comment
0
thumb_up
0
Persistent trigeminal artery variant as a duplicate anterior inferior cerebellar artery
A persistent trigeminal artery is the most common persistent carotid-vertebrobasilar anastomosis. Persistent trigeminal ar...
Surgical And Radiologic Anatomy
comment
0
thumb_up
0
A new anatomical finding: the paramastoid diverticulum of the sigmoid sinus
The sigmoid sinus (SS) is a major surgical landmark. The paramastoid process (PMP) occurs rarely. Inferior diverticula of ...
Surgical And Radiologic Anatomy
comment
0
thumb_up
0
Applying a three-dimensional curved lumbar spine model to simulate surgery for training residents in pedicle screw insertion
The challenges of spinal surgery can be overcome by deeply understanding the anatomical and surgical complexities of the r...
Surgical And Radiologic Anatomy
comment
0
thumb_up
0
Anatomical basis and clinical application of the dorsal metacarpal cutaneous branch flap of radial digital artery of index finger
This study explored the surgical technique and clinical application of the dorsal metacarpal cutaneous branch flap of the ...
Surgical And Radiologic Anatomy
comment
0
thumb_up
0
The right brachioradial artery with the radial recurrent artery absence: a cadaveric case report
The purpose of this case report is to present an anatomical variation of the radial artery observed in anatomical practice...
Surgical And Radiologic Anatomy
comment
0
thumb_up
0
Superficial palmar branch of radial artery flap for digital skin reconstruction: anatomical study and clinical applications
This study investigates the anatomy of the superficial palmar branch of the radial artery (SUPBRA) for palmar skin reconst...
Surgical And Radiologic Anatomy
comment
0
thumb_up
0
Student’s perception of three-dimensional atlas interactive system beside traditional cadaveric dissection in learning human anatomy
As digital education is encroaching on the traditional method, it is important to get, the feedback of medical students. T...
Surgical And Radiologic Anatomy
comment
0
thumb_up
0
Anatomical study of the vascularization of the pedicled osteo-myo-cutaneous scapulo-dorsal flap
The main objective of this study was to conduct a radioanatomical study of the osteo-myo-cutaneous scapulo-dorsal pedicled...
Surgical And Radiologic Anatomy
comment
0
thumb_up
0
A morphometric study of posterior tibial slope differences by sex and ethnicity in a South African population
Posterior tibial slope (PTS) influences knee kinetics and kinematics. The purpose of this study was to investigate morphol...
Surgical And Radiologic Anatomy
comment
0
thumb_up
0
Load More
Modal title
×
Modal title
×
Share
Login
Global News and Health Forum
Join Now!
Member Login
Remember me
Forgot password?
Or using
Linkedin