×
Close
Sign Up
Login
Home
SCI Abstract
Library D
Community
Events
Events & Partner
WeMed
Media Partners
Educational Partner
User Tools
FAQ/USER GUIDE
Language
English
中文/ Chinese
Contact Us
×
Close
mdla_1
mdla_2
mdla_3
mdla_4
mdla_5
mdla_6
Categories
Pharmacology & Pharmacy
32809
Global Medical University
4859
Allergy
1448
Anatomy & Morphology
1366
Andrology
306
Anesthesia & Intensive Care
1238
Anesthesiology
5106
Audiology & Speech-Language Pathology
267
Behavioral Sciences
91
Biochemical Research Methods
6626
Biochemistry & Molecular Biology
28267
Biodiversity Conservation
296
Biology
7883
Biophysics
7890
Biotechnology & Applied Microbiology
7813
Cardiac & Cardiovascular Systems
29457
Cardiovascular & Respiratory Systems
1242
Cell & Tissue Engineering
668
Cell Biology
10250
Chemistry, Analytical
3730
Chemistry, Applied
10510
Chemistry, Medicinal
8234
Chemistry, Multidisciplinary
17297
Clinical Immunology & Infectious Disease
395
Clinical Medicine
7639
Clinical Neurology
15541
Clinical Psychology & Psychiatry
1215
Critical Care Medicine
3002
Dentistry, Oral Surgery & Medicine
12234
Dermatology
6446
Developmental Biology
6533
Ecology
570
Education, Scientific Disciplines
1873
Emergency Medicine
3780
Endocrinology, Metabolism & Nutrition
22770
Engineering, Biomedical
3523
Entomology
461
Environmental Medicine & Public Health
4422
Evolutionary Biology
247
Gastroenterology & Hepatology
11225
General & Internal Medicine
6555
Genetics & Heredity
14224
Geriatrics & Gerontology
4632
Gerontology
344
Health Care Sciences & Services
15081
Health Policy & Services
550
Hematology
5065
Immunology
23583
Infectious Diseases
13070
Integrative & Complementary Medicine
2757
Medical Ethics
1162
Medical Informatics
2139
Medical Laboratory Technology
361
Medicine, General & Internal
42013
Medicine, Legal
488
Medicine, Research & Experimental
16509
Microbiology
22080
Mycology
0
Nanoscience & Nanotechnology
4781
Neuroimaging
1281
Neurology
4083
Neurosciences
37848
Nursing
8626
Nutrition & Dietetics
7408
Obstetrics & Gynecology
7624
Oncology
48920
Ophthalmology
9101
Optics
3947
Orthopedics
10786
Orthopedics, Rehabilitation & Sports Medicine
1663
Otolaryngology
1392
Otorhinolaryngology
4472
Parasitology
1089
Pathology
4608
Pediatrics
20237
Peripheral Vascular Disease
4432
Pharmacology/Toxicology
11586
Physiology
8351
Polymer Science
507
Primary Health Care
768
Psychiatry
18042
Psychology
4767
Psychology, Applied
91
Psychology, Biological
339
Psychology, Clinical
753
Psychology, Developmental
219
Psychology, Educational
139
Psychology, Experimental
149
Psychology, Mathematical
0
Psychology, Multidisciplinary
1572
Psychology, Psychoanalysis
29
Psychology, Social
111
Public Health & Health Care Science
2027
Public, Environmental & Occupational Health
25825
Quantum Science & Technology
0
Radiology, Nuclear Medicine & Imaging
11769
Radiology, Nuclear Medicine & Medical Imaging
7314
Rehabilitation
2679
Remote Sensing
0
Reproductive Biology
2713
Reproductive Medicine
1111
Research/Laboratory Medicine & Medical Technology
3817
Respiratory System
6674
Rheumatology
5397
Social Sciences, Biomedical
1091
Substance Abuse
2521
Surgery
32264
Toxicology
4030
Transplantation
821
Tropical Medicine
283
Urology & Nephrology
11872
Veterinary Sciences
28
Virology
2187
Zoology
0
Channels
CLINICAL NEUROPHARMACOLOGY
50
Medrxiv - Pharmacology and Therapeutics
209
AAPS JOURNAL
286
ACTA PHARMACOLOGICA SINICA
486
ADVANCED DRUG DELIVERY REVIEWS
0
ANTIVIRAL RESEARCH
0
CANCER CHEMOTHERAPY AND PHARMACOLOGY
352
CHEMICO-BIOLOGICAL INTERACTIONS
896
CHEMMEDCHEM
201
CLINICAL PHARMACOKINETICS
316
CLINICAL PHARMACOLOGY & THERAPEUTICS
183
CNS DRUGS
201
CNS NEUROSCIENCE & THERAPEUTICS
93
DRUG DISCOVERY TODAY
184
DRUG METABOLISM AND DISPOSITION
365
DRUG RESISTANCE UPDATES
178
DRUG SAFETY
315
DRUGS
417
EUROPEAN JOURNAL OF PHARMACEUTICAL SCIENCES
673
EUROPEAN JOURNAL OF PHARMACEUTICS AND BIOPHARMACEUTICS
614
EUROPEAN JOURNAL OF PHARMACOLOGY
1387
INTERNATIONAL IMMUNOPHARMACOLOGY
2685
INTERNATIONAL JOURNAL OF PHARMACEUTICS
1902
JOURNAL OF CONTROLLED RELEASE
1251
JOURNAL OF ETHNOPHARMACOLOGY
2215
JOURNAL OF FOOD AND DRUG ANALYSIS
166
JOURNAL OF PHARMACEUTICAL ANALYSIS
390
NATURE REVIEWS DRUG DISCOVERY
566
NEUROPHARMACOLOGY
0
NEUROPSYCHOPHARMACOLOGY
659
NEUROTOXICOLOGY
0
PHARMACOGENOMICS
3
PHARMACOLOGY & THERAPEUTICS
323
PHARMACOTHERAPY
46
THERAPEUTIC ADVANCES IN CHRONIC DISEASE
65
TOXICOLOGY AND APPLIED PHARMACOLOGY
0
TOXICOLOGY IN VITRO
427
VALUE IN HEALTH
20
VASCULAR PHARMACOLOGY
0
ANNALS OF PHARMACOTHERAPY
93
ANTIBIOTICS-BASEL
1863
BIOMEDICAL CHROMATOGRAPHY
197
BIOPHARMACEUTICS & DRUG DISPOSITION
13
BRAZILIAN JOURNAL OF PHARMACEUTICAL SCIENCES
0
CHEMOTHERAPY
77
CHINESE MEDICINE
391
CHIRALITY
66
CLINICAL PHARMACOLOGY IN DRUG DEVELOPMENT
83
CLINICAL THERAPEUTICS
18
CNS & NEUROLOGICAL DISORDERS-DRUG TARGETS
46
DOSE-RESPONSE
62
DRUG DEVELOPMENT RESEARCH
87
EUROPEAN JOURNAL OF HOSPITAL PHARMACY-SCIENCE AND PRACTICE
234
EUROPEAN REVIEW FOR MEDICAL AND PHARMACOLOGICAL SCIENCES
675
HUMAN & EXPERIMENTAL TOXICOLOGY
72
INTERNATIONAL JOURNAL FOR PARASITOLOGY-DRUGS AND DRUG RESISTANCE
0
INTERNATIONAL JOURNAL OF TOXICOLOGY
30
IRANIAN JOURNAL OF PHARMACEUTICAL RESEARCH
154
JOURNAL OF ANTIBIOTICS
240
JOURNAL OF CARDIOVASCULAR PHARMACOLOGY
370
JOURNAL OF CARDIOVASCULAR PHARMACOLOGY AND THERAPEUTICS
21
JOURNAL OF CLINICAL PHARMACY AND THERAPEUTICS
126
JOURNAL OF DRUG DELIVERY SCIENCE AND TECHNOLOGY
1807
JOURNAL OF INTERNATIONAL MEDICAL RESEARCH
419
JOURNAL OF ONCOLOGY PHARMACY PRACTICE
144
JOURNAL OF PHARMACEUTICAL AND BIOMEDICAL ANALYSIS
0
JOURNAL OF PHARMACOLOGICAL AND TOXICOLOGICAL METHODS
0
JOURNAL OF PHARMACOLOGICAL SCIENCES
0
JOURNAL OF PHARMACY AND PHARMACOLOGY
18
NAUNYN-SCHMIEDEBERGS ARCHIVES OF PHARMACOLOGY
483
PHARMACOEPIDEMIOLOGY AND DRUG SAFETY
90
PHARMACOGENOMICS & PERSONALIZED MEDICINE
281
PHARMACOLOGY
115
PHARMACOLOGY BIOCHEMISTRY AND BEHAVIOR
0
SKIN PHARMACOLOGY AND PHYSIOLOGY
57
THERAPEUTIC ADVANCES IN DRUG SAFETY
14
THERAPEUTIC DRUG MONITORING
168
INDIAN JOURNAL OF PHARMACEUTICAL EDUCATION AND RESEARCH
19
INDIAN JOURNAL OF PHARMACOLOGY
16
JOURNAL OF APPLIED BIOMEDICINE
44
JOURNAL OF THE AMERICAN PHARMACISTS ASSOCIATION
17
REVISTA BRASILEIRA DE FARMACOGNOSIA-BRAZILIAN JOURNAL OF PHARMACOGNOSY
348
THERAPIE
347
SCIENTIA PHARMACEUTICA
94
ADMET AND DMPK
79
ADVANCED THERAPEUTICS
74
ADVANCES IN PHARMACOLOGY AND PHARMACY
117
ADVANCES IN TRADITIONAL MEDICINE
44
ASIAN JOURNAL OF PHARMACEUTICAL RESEARCH AND HEALTH CARE
14
ASIAN JOURNAL OF PHARMACEUTICS
189
CANADIAN JOURNAL OF HOSPITAL PHARMACY
161
CURRENT DRUG THERAPY
18
EGYPTIAN PHARMACEUTICAL JOURNAL
35
FUTURE JOURNAL OF PHARMACEUTICAL SCIENCES
257
GABI JOURNAL-GENERICS AND BIOSIMILARS INITIATIVE JOURNAL
71
INTERNATIONAL JOURNAL OF PHARMACEUTICAL INVESTIGATION
212
JOURNAL OF ADVANCED PHARMACEUTICAL TECHNOLOGY & RESEARCH
164
JOURNAL OF ANAESTHESIOLOGY CLINICAL PHARMACOLOGY
0
JOURNAL OF PHARMACEUTICAL HEALTH CARE AND SCIENCES
114
JOURNAL OF PHARMACEUTICAL POLICY AND PRACTICE
287
JOURNAL OF PHARMACOLOGY & PHARMACOTHERAPEUTICS
58
JOURNAL OF PHARMACY AND BIOALLIED SCIENCES
39
JOURNAL OF PHARMACY PRACTICE
60
JOURNAL OF RESEARCH IN PHARMACY PRACTICE
40
RESEARCH JOURNAL OF PHARMACOGNOSY
86
PHARMACEUTICAL MEDICINE
76
PHARMACIA
140
PHARMACOECONOMICS-OPEN
217
PHARMACY
160
PHARMACY PRACTICE-GRANADA
16
DARU-JOURNAL OF PHARMACEUTICAL SCIENCES
110
DRUGS & AGING
250
EUROPEAN JOURNAL OF CLINICAL PHARMACOLOGY
472
INVESTIGATIONAL NEW DRUGS
311
JOURNAL OF PHARMACEUTICAL INNOVATION
351
JOURNAL OF PHARMACOKINETICS AND PHARMACODYNAMICS
187
NEUROTHERAPEUTICS
357
PEDIATRIC DRUGS
189
THERAPEUTIC INNOVATION & REGULATORY SCIENCE
331
SCI Abstract
search
ALL
RECOMMENDED
+
An Examination of the Relationship Between Exposure to Bisphenol A and Attention-Deficit/Hyperactivity Disorder in Children and Adolescents
Objectives Exposure to environmental toxic agents in the prenatal and/or postnatal periods may pl
Clinical Neuropharmacology
comment
0
thumb_up
0
The Utility of Methylphenidate for Fatigue in Long-Term Neurological Conditions: A Meta-analytical Review
Objective Fatigue is a chronic and debilitating symptom of many long-term neurological conditions
Clinical Neuropharmacology
comment
0
thumb_up
0
Consciousness Recovery in Traumatic Brain Injury: A Systematic Review Comparing Modafinil and Amantadine
Objectives Acute traumatic brain injury is one of the most common causes of death and disability.
Clinical Neuropharmacology
comment
0
thumb_up
0
Changes of Serum C-Reactive Protein Level in Patients With Depressive Disorders After Treatment With Agomelatine Combined With Aerobic Exercise and Its Significance
Objective Depressive disorders constitute a series of debilitating diseases. This study investiga
Clinical Neuropharmacology
comment
0
thumb_up
0
Inflammation Markers Among Schizophrenia Patients Who Use Cannabis
Objectives The mechanism of inflammation of the immune system, for example, such circulatory mark
Clinical Neuropharmacology
comment
0
thumb_up
0
Aripiprazole-Induced Stevens-Johnson Syndrome/Toxic Epidermal Necrolysis: A Case Study
Objectives The use of medications in management of disease is an integral part of treatment to pa
Clinical Neuropharmacology
comment
0
thumb_up
0
Botulinum Toxins and Zinc: From Theory to Practice—A Systematic Review
Objective The aims of this study were to determine whether zinc supplementation affects botulinum
Clinical Neuropharmacology
comment
0
thumb_up
0
Obsessive-Compulsive, Psychotic, and Autism Dimensions Overlap in Real World: A Case Report
Background Obsessions, compulsions, and stereotypes are common psychopathological manifestations
Clinical Neuropharmacology
comment
0
thumb_up
0
Medical Cannabis in the Treatment of Parkinson’s Disease
Objectives Medical cannabis (MC) has recently garnered interest as a potential treatment for neur
Clinical Neuropharmacology
comment
0
thumb_up
0
A Case Report of Delusions in a Patient Receiving Cabergoline Therapy for Prolactinoma: Pathophysiology and Proposed Treatment With Aripiprazole
Cabergoline is a dopamine 2 receptor agonist used as first-line treatment of pituitary prolactinomas
Clinical Neuropharmacology
comment
0
thumb_up
0
Effects of Exercise on Testosterone and Implications of Drug Abuse: A Review
Objective Research points to exercise having a positive effect in fighting relapse and use of dru
Clinical Neuropharmacology
comment
0
thumb_up
0
A Case of Oral Cenesthopathy Treated With the Combination of Brexpiprazole and Mirtazapine
Objectives Oral cenesthopathy is an uncomfortable and bizarre oral sensation without correspondin
Clinical Neuropharmacology
comment
0
thumb_up
0
The Downside of Botulinum Injections for Anterocollis: A Case Series and a Review of the Literature
Objectives This is a case series and a review of the literature of therapeutic outcomes of botuli
Clinical Neuropharmacology
comment
0
thumb_up
0
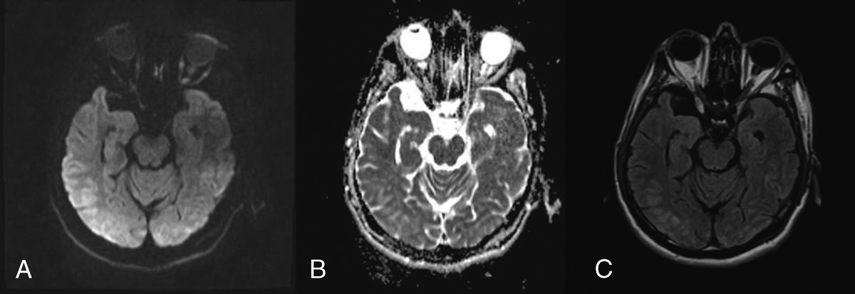
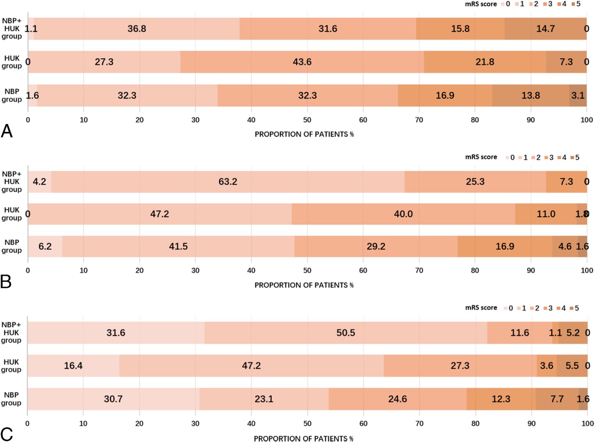
Efficacy and Safety of Dl-3-n-Butylphthalide Combined With Human Urinary Kallidinogenase in the Treatment of Acute Ischemic Stroke
Objectives Intravenous thrombolysis and mechanical endovascular thrombectomy are recommended for
Clinical Neuropharmacology
comment
0
thumb_up
0
Clinically Determined Asterixis Is Markedly Increased in Patients Taking Clozapine
Department of Neurology, Butler Hospital, 345 Blackstone Blvd, Providence, RI 02906, Warren Alpert Medical School o...
Clinical Neuropharmacology
comment
0
thumb_up
0
Different Dosage Regimens of Tanezumab for the Treatment of Chronic Low Back Pain: A Meta-analysis of Randomized Controlled Trials
Objective The aim of this study was to assess the efficacy of different dosage regimens of tanezu
Clinical Neuropharmacology
comment
0
thumb_up
0
The Effects of Disease-Modifying Therapies on Oxidative Stress in Patients With Relapsing-Remitting Multiple Sclerosis
Objective Oxidative stress (OS) has a role in the pathogenesis and progression of multiple sclero
Clinical Neuropharmacology
comment
0
thumb_up
0
Efficacy of Valproic Acid Against Coronavirus Disease 2019 Infection or Severity: A Pilot Study
Objectives The purpose of the current study was to investigate whether taking valproic acid (VPA)
Clinical Neuropharmacology
comment
0
thumb_up
0
The Efficacy and Safety of Adjuvant Lomustine to Chemotherapy for Recurrent Glioblastoma: A Meta-analysis of Randomized Controlled Studies
Introduction Lomustine is regarded as 1 common anti–vascular endothelial growth factor agent. The
Clinical Neuropharmacology
comment
0
thumb_up
0
Dose-Dependent Enuresis in Methylphenidate Use
Objectives Attention deficit hyperactivity disorder (ADHD) is one of the most common neurodevelop
Clinical Neuropharmacology
comment
0
thumb_up
0
Protective Effects of Ursodeoxycholic Acid Against Oxidative Stress and Neuroinflammation Through Mitogen-Activated Protein Kinases Pathway in MPTP-Induced Parkinson Disease
Objectives Parkinson disease (PD) is the second most common neurodegenerative disorder, and no di
Clinical Neuropharmacology
comment
0
thumb_up
0
Cultural Considerations in Fahr's Syndrome: A Case Report
Objectives Many psychiatrists, and other providers alike, find difficulty integrating a culture-c
Clinical Neuropharmacology
comment
0
thumb_up
0
Resveratrol Treatment of Autism Spectrum Disorder—A Pilot Study
Objectives Considering autism spectrum disorder (ASD) as a neurodevelopmental condition associate
Clinical Neuropharmacology
comment
0
thumb_up
0
Evidence for Anti-inflammatory Effects of Adalimumab in Treatment of Patients With Major Depressive Disorder: A Pilot, Randomized, Controlled Trial
Background Literature has suggested that major depressive disorder (MDD) is accompanied by higher
Clinical Neuropharmacology
comment
0
thumb_up
0
Ocrelizumab for Post-Alemtuzumab Paradoxical Disease Activity in Highly Active Multiple Sclerosis
Alemtuzumab is a humanized anti-CD52 antibody that is registered for treatment of highly active rela
Clinical Neuropharmacology
comment
0
thumb_up
0
Intravenous Fosphenytoin Therapy as an Acute Rescue Treatment for Glossopharyngeal Neuralgia Crisis in Patients Awaiting Neurosurgical Procedures: A Case Series
Introduction Few treatments exist for acute attacks of glossopharyngeal neuralgia (GPN). We inves
Clinical Neuropharmacology
comment
0
thumb_up
0
Cilostazol Administration for Subarachnoid Hemorrhage: A Meta-analysis of Randomized Controlled Trials
Introduction The efficacy of cilostazol administration to treat subarachnoid hemorrhage remains c
Clinical Neuropharmacology
comment
0
thumb_up
0
Posterior Reversible Encephalopathy Syndrome Occurred During the Use of Pseudoephedrine: A Case Report
Introduction Posterior reversible encephalopathy syndrome (PRES) is a syndrome that is manifested
Clinical Neuropharmacology
comment
0
thumb_up
0
Yerbamate Tea Consumption: A Protective Factor in Parkinson Disease
Introduction Little is known about the association between Yerbamate (YMT) tea consumption and Pa
Clinical Neuropharmacology
comment
0
thumb_up
0
Probable Methylphenidate-Related Reversible “Visual Snow” in a Child With ADHD
Objectives Visual snow syndrome is relatively a recently recognized neurological entity presentin
Clinical Neuropharmacology
comment
0
thumb_up
0
Load More
Modal title
×
Modal title
×
Share
Login
Global News and Health Forum
Join Now!
Member Login
Remember me
Forgot password?
Or using
Linkedin